2404, 2023
Rectal ESD
Ενδοσκοπικη αφαίρεση πολύπλοκου πολυποδα στο παχύ έντερο με τεχνική [...]
2404, 2023
EUS-FNB
EUS-FNB of an ill defined mass in the head [...]
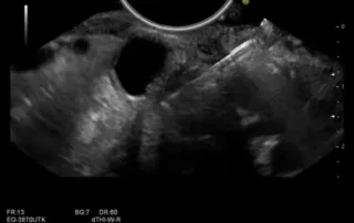
2404, 2023
Νευροενδοκρινής όγκος παγκρέατος
Τυπική απεικόνιση ενός νευροενδοκρινούς όγκου στο πάγκρεας. Τόσο ο [...]
2404, 2023
Αφαίρεση πολλαπλών έμμισχων πολυπόδων
Αυτή είναι η περίπτωση μιας 70χρονης ασθενούς με πολλαπλούς [...]
2404, 2023
Ενδοσκοπικός υπέρηχος με σκιαγραφικό για την αξιολόγηση βλαβών του παγκρέατος
Η χρήση σκιαγραφικού κατά την διάρκεια του ενδοσκοπικού υπερήχου [...]
2404, 2023
Ενδοσκοπική υποβλεννογόνια εκτομή (ESD) βλάβης στο έλασσον τόξο του στομάχου
Ασθενής με εντερική μεταπλασία και χαμηλού βαθμού δυσπλασία στο [...]






